http://www.houseofkata.nl

http://www.dakenwandcenter.nl

 

http://www.assurantiesite.nl/autoverzekering/

http://www.gdkoi.nl

 

http://www.nipponkoigarden.com

 

 

http://www.nikoi.nl

 

http://www.rbfoto.nl

 

http://www.timmerentimmer.com

http://www.koigate.nl

http://www.gdkoi.nl


 
 
 

Geen gebeurtenissen deze maand.

ZMDWDVZ
1234567
891011121314
15161718192021
22232425262728
293031



 
Wat is een Tumor?


door Maarten Lammens afdrukken van het content onderwerp creëren van een PDF bestand van het content onderwerp

Hoe ontstaan tumoren?
Tumoren ontstaan ten gevolge van een gestoorde celfunctie, waardoor er een mas­sale celdeling plaatsvindt. Tumoren zien we de laatste jaren meer en meer optreden bij vijvervissen. Ze komen voornamelijk voor bij oudere vissen, meestal ter hoogte van de huid. Bij koi zien we nogal eens tumoren ter hoogte van de inwendige organen.

Een eerste reden die het ontstaan van tumoren in de hand werkt, is dat ons water steeds meer vervuild wordt door kankerverrekenende stoffen. Een tweede belangrijke reden is dat de vissen vaak behandeld worden. De meeste Japanse koi worden zowel in Japan als na aankomst in Europa verschillende malen behandeld tegen infecties. De meeste middelen ( malachietgroen, formaldehyde, nitrofurantoine,...) zijn kankerverwek­kend. Daarom nogmaals is het niet goed om enkele malen per jaar preventief te behandelen, maar enkel indien noodzake­lijk na een juiste diagnose en met de juiste medicatie.

Welk onderscheid kan men maken tussen de verschillende tumoren?
In de eerste plaats moet men onderscheid maken tussen goedaardige en kwaad­aardige ( sarcoma of carcinoma) gezwellen. Goedaardige gezwellen blijven ter plaatse omdat ze zeer goed ingekapseld zijn en niet zo agressief in groei. Een kwaadaardig gezwel daarentegen is niet zo goed omkapseld, zodat het heel makkelijk kan­kercellen verliest. Deze cellen komen in de bloedbaan terecht en zaaien uit naar andere organen. Deze uitgezaaide kankercellen noemt men ook metastasen en kunnen dan in andere organen beginnen te woeke­ren. Aan de hand van een cytologisch of histopathologisch onderzoek kan bepaald worden of het om een goedaardige of een kwaadaardige tumor gaat.

Er zijn een aantal infectieuze oorzaken van gezwellen:
  • parasieten (Myxozoa,..)
  • bacteriën (Mycobacterium,..)
  • schimmels (Dermocystidium,..)
  • virussen (karperpokken(en,.. )

    De meest voorkomende niet infectieuze tumoren bij koi zijn:
  • huidtumoren (papilloma, melanoma, slijmbekerceltumor, lipoma, fibroma,..)
  • levertumoren (hepatocellulair carcin­ma, cholangiocarcinoma,..)
  • ovariumtumoren (teratoma, granulosa­cel tumor, fibroma,..) ,
  • niertumoren. Deze tumoren gaan vaak samen met cysten ( cystoma ), gevuld met vocht.

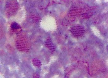
    Cytologisch onderzoek van kwaadaardig carcinoom met celpleiomorfisme en grote nucleoli
    Kan men tumoren opereren?
    Aangezien bestraling bij een vis praktisch onmogelijk lijkt, is een operatie vaak de enige kans op overleven. Indien we tijdens een operatie zien dat er reeds verschillende organen aangetast zijn, gaat het waar­schijnlijk om een kwaadaardige tumor en is de kans dat de tumor zich opnieuw ont­wikkelt na de operatie groot.

    De prognose is in dit geval zeer slecht. Wanneer het gaat om een goedaardige tumor die goed omkapseld is in één orgaan, dan hangt de prognose af van welk orgaan er aangetast is. Indien bij­voorbeeld het ovarium of slechts een deel van de lever of nier is aangetast, is het wel degelijk mogelijk een tumor met langdurig succes te verwijderen.

    Bron: Vijvers & Koi
    Koieagle alle rechten voorbehouden